2024-09-19 12:05

辐射疗法,或称放射治疗,是一种癌症治疗方法。治疗中,医生对病患体内的癌细胞进行电离辐射(如X射线、γ射线、高能电子或重粒子)照射,从而杀死癌细胞。放射治疗是最广泛使用的癌症治疗方法之一,大约有一半的癌症患者在病程的某个阶段都需要接受放射治疗。

图片显示了癌症治疗的一种常见方法——外放射疗法,或称远距离放射治疗。癌症是世界上主要死亡原因之一,2020年因癌症死亡人数接近1000万。(图片来源:A.Vargas/国际原子能机构)
放射治疗如何对抗癌症?
癌症是指身体某个部位的细胞开始不受控制地生长和繁殖,形成肿瘤,影响周围的组织和器官,有时通过血液或淋巴系统扩散到身体的其他部位。

(图片来源:A.Vargas/国际原子能机构)
放射治疗原理是采用精心选定的电离辐射剂量来破坏癌细胞的DNA,因为DNA控制着细胞分裂方式。辐射会使肿瘤缩小,在某些情况下甚至会杀死肿瘤。自19世纪90年代以来,放射治疗已用于治疗几乎所有类型的癌症。放射治疗可以单独使用或与其他治疗方法(如化学疗法或手术)结合使用,以治愈癌症或缓解癌症症状。
放射治疗类型
根据癌症的类型和位置,放射肿瘤医师会单独或结合使用两种放射治疗,分别为:外放射疗法(远距离放射治疗)和内放射疗法(近距离放射治疗)。
选定治疗方式后需要一个合格的专家团队,包括放射肿瘤医师、医学物理师和辐射治疗技师。他们利用辐射破坏肿瘤,同时尽量减少对健康细胞的损害。
远距离放射治疗
最常见的放射治疗类型是远距离放射治疗,即以高能射线的形式对肿瘤部位进行照射。这种辐射由离人体有一定距离的机器(如钴装置或直线加速器)发射。
在治疗过程中,患者躺着保持不动,机器在人体周围移动,从若干角度以精确的辐射剂量照射肿瘤。辐射束的大小和形状经过了仔细调整,以一定剂量照射肿瘤,而不影响正常组织。

外放射疗法用于治疗多种肿瘤,包括头部、颈部、乳房、肺部或结肠的肿瘤。(图片来源:A.Vargas/国际原子能机构)
近距离放射治疗
近距离放射治疗是指将一个小型密封的放射源放置在体内,以高剂量直接照射肿瘤,但对周围组织的影响很小。
放射源可以临时或永久植入。若临时植入,则使用针或特定施治器将含有铯、铱或钴源的胶囊植入体内。根据放射源提供的剂量,胶囊可在体内停留数分钟至数天。若永久植入,则将植入物(如碘-125,通常约为米粒大小)放置在体内以照射肿瘤。随着时间推移,放射源会失去其放射性。

近距离放射治疗通常用于治疗前列腺癌、乳腺癌、皮肤癌和一些头颈部癌症。(图片来源:A.Vargas/国际原子能机构)
放射治疗的效果如何?
放射治疗是非常有效且成熟的治疗方法,每年有数百万患者接受脑癌、乳腺癌、头颈癌、宫颈癌、前列腺癌、皮肤癌等其他癌症的放射治疗。放射治疗并非立马见效,而是需要经过一段时间才能看到效果。治疗结束后可能需要几天、几周或几个月的时间才能看到放射治疗对肿瘤的影响。
放射治疗的一些最新进步,包括三维适形放射治疗、调强放射治疗和图像引导放射治疗,有助于高度准确地确定靶向区域,有效地提供精确的辐射剂量,将对健康细胞、组织和器官的损害最小化。
放射治疗有哪些副作用?
副作用取决于放射治疗中使用的辐射剂量和被照射的身体部位。患者可能会出现短期和长期的副作用,或者毫无副作用。
放射治疗是否安全?
远距离放射治疗是由高素质的医疗卫生专业人员团队用专门设计的设备进行的,因此十分安全。尽管患者可能会出现副作用,但其他人,包括治疗期间在患者身边的医生或家人,都不会有任何辐射风险。
远距离放射治疗不会使患者本身具有放射性。近距离放射治疗带来的放射性危害也极小。临时植入放射源的患者应待在医院里,接受特殊照料,以防止工作人员和公众受到辐射。一旦移除放射源,患者身体将不会有残留辐射。
永久性植入物放置在体内后,辐射将被肿瘤吸收。为了确保辐射水平足够低,医生在患者出院前会对其进行一次专门检查。
医学成像在放射治疗中有什么作用?
医学成像在癌症患者管理方面发挥着至关重要的作用,是计划、实施和评价放射治疗的必要条件。先进成像技术应用于放射治疗,带来了癌症护理的革命,患者疗效得到改进。就此而言,医学成像的作用包括:
评估癌症的位置和扩散情况:医学成像可用于确定癌症是处于早期阶段还是已经扩散到身体的其他部位。图像引导程序(如活检)属于微创手术,是进行准确的组织诊断所必需的。
医学成像技术(如计算机断层照相法、超声、磁共振成像和正电子发射断层照相法)对于癌症的准确诊断和分期至关重要。这些技术有助于确定肿瘤的位置、大小和范围、肿瘤与周围结构的关系以及肿瘤是否转移。
治疗规划,医学成像可用于治疗规划:从药物治疗和放射治疗到手术或者在某些情况下的姑息治疗。在放射治疗规划时,医学成像能生成肿瘤的三维图像,使放射治疗对肿瘤的靶向性更好,同时尽量减少对健康组织的伤害。
图像引导放射治疗是在放射治疗过程中纳入了实时医学成像,以确保辐射剂量准确且均匀。

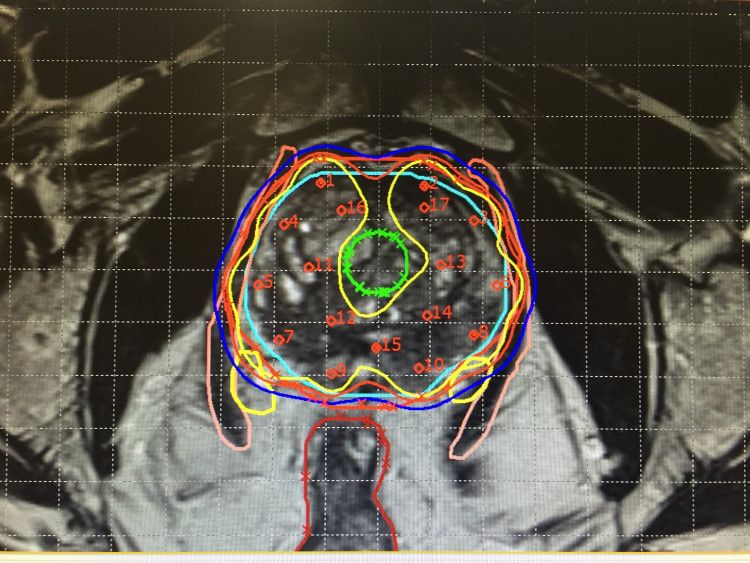
详尽的医学图像有助于医疗卫生专业人员区分肿瘤、健康组织和器官,以确保准确地以癌细胞为靶向。(照片来源:Auna Oncosalud)
来源 | 国际原子能机构(IAEA)官网
作者 | Artem Vlasov, IAEA新闻和宣传办公室
编译 | 槟榔郭
2026-04-10
2026-04-10
2026-03-31
2026-03-02
2026-02-03
2025-12-31
2025-12-02
2025-10-31
